Dinlenirken yorgun mermi ile yaralandı
Trabzon'un Çarşıbaşı ilçesi Şahinli Yaylası'nda ot biçen Osman Çağlar, dinlendiği sırada yorgun mermi ile yaralandı. Hastanede tedaviye alınan Çağlar, “İnsanların bilinçli olmasını temenni ediyorum. Beni Allah korudu" dedi.
Olay, dün saat 12.00 sıralarında ilçenin Şahinli Yaylası’nda meydana geldi. Yaylada ailesiyle ot biçen 1 çocuk babası Osman Çağlar, dinlenmek için oturduktan kısa süre sonra bir anda bacağında ağrı hissetti.
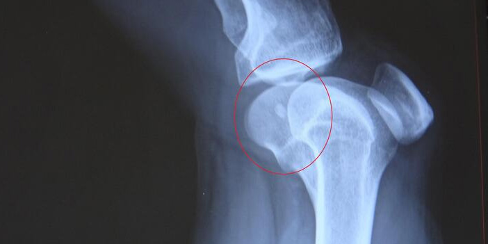
Çağlar, sağ bacağının diz kısmına mermi isabet ettiğini fark etti. Yakınları tarafından Karadeniz Teknik Üniversitesi (KTÜ) Tıp Fakültesi Farabi Hastanesi’ne götürülen Çağlar, tedavi altına alındı.
Çağlar'ın diz kapağındaki mermi ameliyatla çıkartıldı. Mermi balistik incelemeye alınırken, jandarma ekipleri silahı ateşleyen kişiyi tespit etmek için çalışma başlattı.

"BELKİ BİRAZ VİCDANI SIZLAR"
Yaşananları anlatan Osman Çağlar, “Yaylada ot biçerken dinlenmek maksadıyla oturdum. Bir süre sonra ayağımda bir sızı hissettim. Silah sesi de duymuştum.
Dizime bir baktım, mermi deliği var. Dizim kanıyordu, hemen beni hastaneye götürdüler. Daha önce haberlerde izliyordum yorgun mermi olaylarını. Ama insan hiç ‘kendi başına gelir’ diye hesap etmiyor.
İnşallah silah kullananlar duyar da kendilerine bir ders çıkartırlar. Silahla havaya ateş etmenin hiçbir anlamı yok. İnsanların hayatlarına mal olabiliyor.
Hiç silah kullanmadım ama benim başıma bu olay geldi. Trabzon’da daha önce buna benzer bir sürü olay var. İnsanların bilinçli olmasını temenni ediyorum. Umarım bu silahı ateşleyen kişi bu olayı duyar da belki biraz vicdanı sızlar; daha bilinçli olur. Kendisini o biliyordur” diye konuştu.
Kaynak:
Türkçe karakter kullanılmayan ve büyük harflerle yazılmış yorumlar onaylanmamaktadır.